Google News

Ho triền miên suốt một năm vì hạt trái cây 'đi lạc' trong phổi

TPO - Suốt một năm qua, người đàn ông phải sống chung với những cơn ho kéo dài tưởng chừng do bệnh hô hấp mạn tính. Không ngờ, “thủ phạm” thực sự lại là một hạt sapoche kẹt sâu trong phế quản.

Đó là trường hợp ông P.V.K. (56 tuổi, ngụ Tây Ninh) vừa được tiếp nhận, điều trị tại Bệnh viện Đa khoa Xuyên Á (TPHCM).

Phát hiện bất ngờ từ phim chụp CT

Ngày 10/8, thông tin từ bệnh viện cho biết trước đó, ông K. bị ho dai dẳng và đã đi khám ở nhiều nơi, được điều trị nhiều phác đồ nhưng bệnh không thuyên giảm. Một tháng gần đây, triệu chứng trở nặng: ông ho liên tục, đau tức ngực, sốt cao, buồn nôn... Lo lắng, gia đình đưa ông K. đến Bệnh viện Đa khoa Xuyên Á Long An để kiểm tra chuyên sâu.

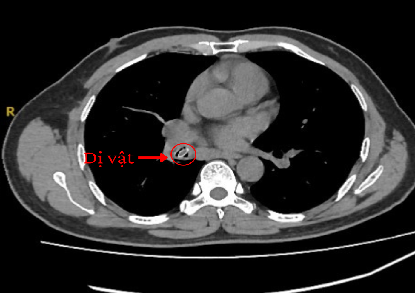
hinh-chup-ct1.png
Hình ảnh kiểm tra chuyên sâu phát hiện dị vật nằm trong phổi người bệnh

Tại khoa Nội Tổng quát, kết quả chụp CT lồng ngực cho thấy một dị vật hình bầu dục, kích thước 5,5 x 7,0 x 14,5 mm nằm trong phế quản gốc bên phải, nghi là hạt trái cây. Các bác sĩ chỉ định nội soi phế quản khẩn để gắp ra, tránh biến chứng nặng.

BS.CKI Trương Minh Hiếu – Trưởng khoa Nội soi cho biết, dị vật là một hạt trái cây màu đen, trơn, nằm sâu, xung quanh phù nề và dễ chảy máu. Do hình dạng trơn dẹt và vị trí khó tiếp cận, thao tác gắp gặp nhiều trở ngại. Tuy nhiên, ê kíp đã lấy dị vật thành công, không gây tổn thương thêm cho đường thở.

Ngay sau thủ thuật, các cơn ho và đau ngực của ông K. giảm rõ rệt. Ông tiếp tục được điều trị viêm phổi tại khoa Nội Tổng quát. Sau hơn một tuần, sức khỏe bệnh nhân này ổn định, ăn uống bình thường và được xuất viện.

Nguy cơ từ hóc dị vật không được phát hiện sớm

BS. Nguyễn Văn Chiến – Khoa Nội Tổng quát – Nội Hô hấp cảnh báo: điểm đặc biệt của ca này là bệnh nhân không hề biết mình từng hóc dị vật, dẫn đến chủ quan. Việc thăm khám ban đầu ở nhiều nơi không đủ chuyên sâu khiến nguyên nhân thật sự bị bỏ sót. Nếu kéo dài, dị vật có thể gây nhiễm trùng đường hô hấp, áp xe phổi, tràn mủ màng phổi, giãn phế quản và ảnh hưởng lâu dài đến chức năng hô hấp.

hinh-bs-tham-kham.png
Sau can thiệp, sức khỏe bệnh nhân đã bình phục tốt

Theo BS Chiến, thời gian qua, bệnh viện này tiếp nhận nhiều ca hóc dị vật đường thở và đường tiêu hóa, từ mảnh xương, viên thuốc đến hạt trái cây, đặc biệt là ở trẻ nhỏ và người cao tuổi – nhóm dễ gặp tai nạn khi ăn uống.

Để tránh những trường hợp tương tự, các bác sĩ khuyến cáo người dân nên ăn chậm, nhai kỹ. Không nên vừa ăn vừa nói chuyện hay cười đùa. Khi nghi nuốt phải dị vật, cần đưa người bệnh đến cơ sở y tế để xử trí, tuyệt đối không tự móc họng hoặc áp dụng mẹo dân gian vì có thể khiến dị vật lọt sâu hơn hoặc gây tổn thương nghiêm trọng, thậm chí nguy hiểm tính mạng.