Nhầm với bệnh mắt, thoái hóa đốt sống cổ
Ngày 19/5, thông tin từ Bệnh viện Đa khoa Xuyên Á cho biết, tại đây vừa liên tục tiếp nhận 2 ca bệnh u tuyến yên lớn gây mờ mắt nghiêm trọng, đau đầu kéo dài. Cả hai bệnh nhân đều không được chẩn đoán sớm trong thời gian đầu.
Trường hợp thứ nhất là bà H.T.L. (48 tuổi, ngụ tại Bình Định) bị đau đầu triền miên từ sau Tết. Nghĩ rằng do thoái hóa đốt sống cổ gây chèn ép, bà L. chỉ uống thuốc giảm đau. Tuy nhiên, do thị lực ngày càng giảm, đến mức không còn nhìn rõ, bà đi chụp MRI tại bệnh viện địa phương và được phát hiện có khối u lớn trong não.
Gia đình đã đưa bà L. vào TPHCM để điều trị. Kết quả kiểm tra cho thấy bà mắc u tuyến yên kích thước 3cm, chèn ép dây thần kinh thị giác – nguyên nhân trực tiếp gây mờ mắt và đau đầu.
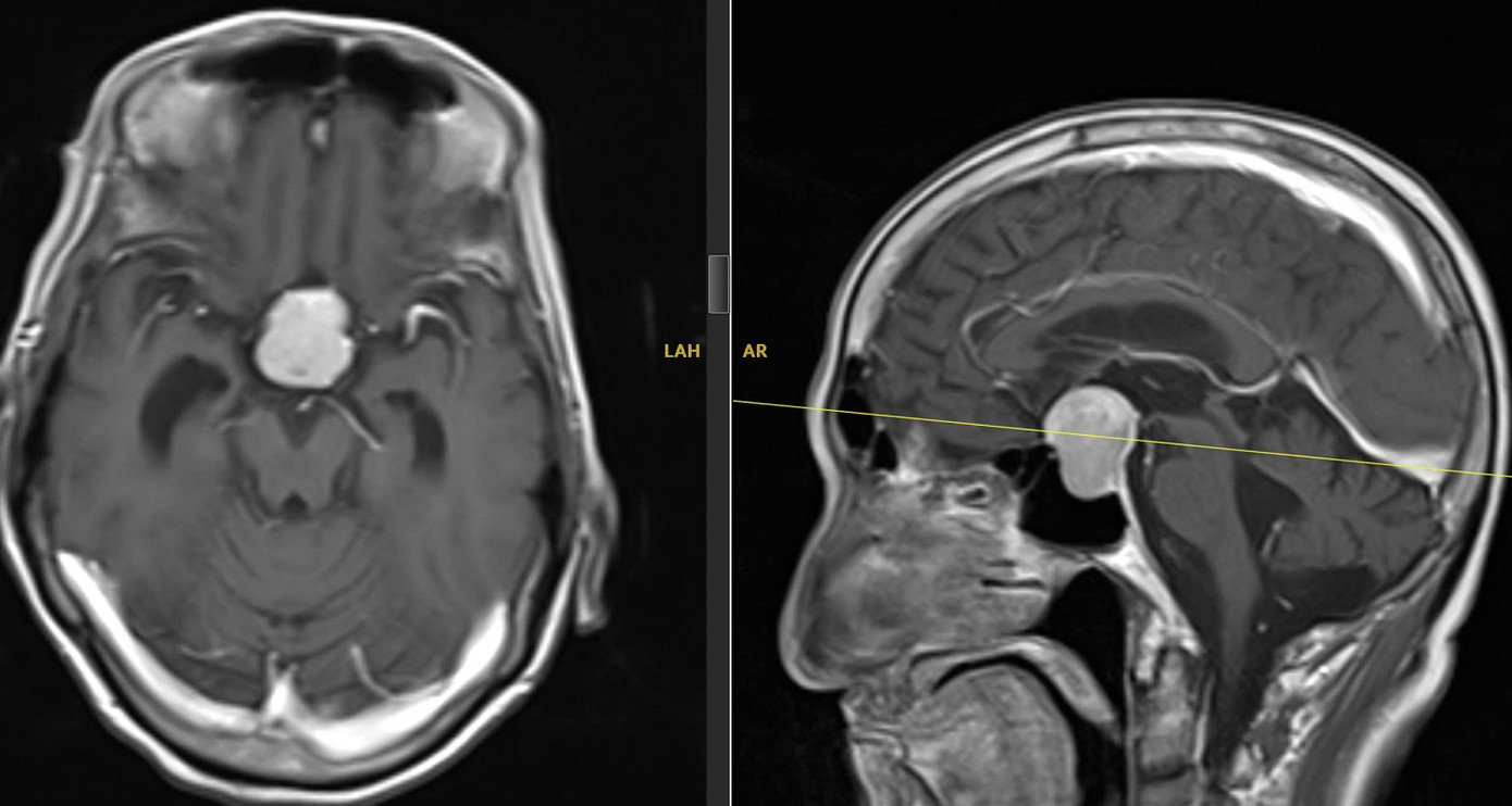
![]() |
| Khối u tuyến yên (vùng màu trắng) là nguyên nhân khiến người bệnh mờ mắt, đau đầu |
Trường hợp thứ hai là ông N.V.H. (74 tuổi, quê Cà Mau) bị mờ mắt, đau đầu suốt hơn nửa năm. Ban đầu, ông H. đi khám tại cơ sở chuyên khoa mắt nhưng không phát hiện bất thường ở nhãn cầu. Chỉ đến khi được chỉ định chụp MRI não mới phát hiện ông H. có khối u tuyến yên lớn 3,1cm.
Cả hai bệnh nhân đều được chỉ định phẫu thuật nội soi bóc tách khối u qua đường mũi – một kỹ thuật ít xâm lấn nhưng đòi hỏi tay nghề chuyên sâu và hệ thống nội soi hiện đại. Sau mổ, thị lực của hai bệnh nhân cải thiện đáng kể, đạt 80% so với ban đầu. Các cơn đau đầu cũng biến mất, sức khỏe phục hồi tốt.
Dấu hiệu cảnh báo cần thăm khám, điều trị sớm
Theo ThS.BS-CKII Huỳnh Văn Vũ – Phó Trưởng Khoa Sọ Não Cột Sống 2, Bệnh viện Đa khoa Xuyên Á, tuyến yên nằm ngay gần giao thoa thị giác – điểm nối giữa hai dây thần kinh thị giác. Vì vậy, khi có u tuyến yên phát triển to sẽ dễ dàng gây chèn ép và làm suy giảm thị lực. Đáng lo ngại là nhiều bệnh nhân không nghĩ đến u não mà chỉ đi khám mắt thông thường, dẫn đến chẩn đoán sai và điều trị trễ.
Bác sĩ Vũ cho biết, dấu hiệu điển hình của u tuyến yên là nhìn mờ (một bên hoặc cả hai bên), đau đầu âm ỉ, mất thị lực ngoại biên, song thị, đôi khi kèm theo yếu tay chân, mệt mỏi kéo dài. Nếu bệnh nhân thấy thị lực suy giảm nhưng cấu trúc mắt vẫn bình thường thì nên nghi ngờ nguyên nhân từ não và đi chụp cộng hưởng từ (MRI) để phát hiện sớm.
![]() |
| Các bác sĩ đã thực hiện thành công cuộc phẫu thuật nội soi bóc tách khối u tuyến yên cho người bệnh |
Phẫu thuật nội soi bóc u tuyến yên hiện là phương pháp tối ưu, giúp loại bỏ hoàn toàn khối u qua đường mũi mà không cần mở sọ. Phương pháp này hạn chế chảy máu, giảm đau sau mổ và thời gian hồi phục nhanh. Tuy nhiên, kỹ thuật này không phổ biến ở tất cả các bệnh viện và đòi hỏi đội ngũ bác sĩ có kinh nghiệm sâu trong phẫu thuật nền sọ.
Bác sĩ khuyến cáo cộng đồng, để tránh nguy hiểm của bệnh, điều quan trọng là phát hiện bệnh sớm, khi dây thần kinh thị giác chưa bị tổn thương nặng. Nếu điều trị muộn, thị lực có thể mất hoàn toàn và không thể phục hồi.
Theo các bác sĩ, u tuyến yên là khối u phát triển bất thường tại tuyến yên – tuyến nội tiết quan trọng điều khiển hormone trong cơ thể. Khi khối u lớn lên, nó có thể chèn ép dây thần kinh thị giác, gây mờ mắt, đau đầu và nhiều rối loạn nội tiết khác. Phát hiện sớm bằng MRI và điều trị bằng phẫu thuật nội soi qua đường mũi là giải pháp hiệu quả, giúp bảo toàn thị lực và hạn chế biến chứng nguy hiểm cho người bệnh.

