Đó là trường hợp ông tên T.Q.B. (65 tuổi, ngụ tại Long An) vừa được tiếp nhận cấp cứu tại Bệnh viện Đa khoa Xuyên Á TP. HCM. Ngày 17/4, thông tin từ bệnh viện cho biết, ông B. nhập viện trong tình trạng hôn mê.
![]() |
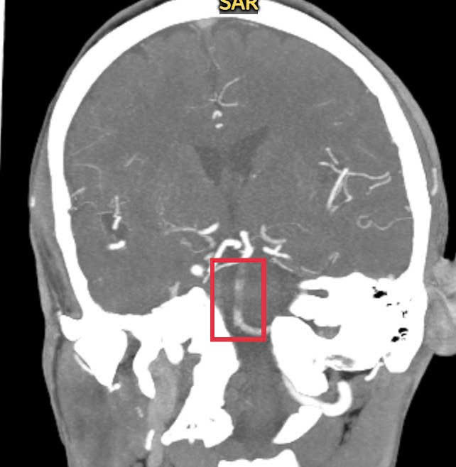
| Hình ảnh kiểm tra ghi nhận bệnh nhân bị đột quỵ do tắc động mạch thân nền |
Khai thác bệnh sử của bác sĩ từ phía người nhà ghi nhận, trước khi nhập viện ông B. đang bế cháu thì đột ngột choáng váng, mất ý thức. Tại bệnh viện, qua thăm khám nhanh, bác sĩ nhận định ông B. có dấu hiệu điển hình của một cơn đột quỵ. Ngay lập tức, Đơn vị Đột quỵ của bệnh viện gồm các chuyên khoa Cấp cứu, Nội thần kinh, Chẩn đoán hình ảnh đã nhanh chóng triển khai các hoạt động cấp cứu, chỉ định chụp CT khẩn.
Sau hội chẩn, các bác sĩ nhận định bệnh nhân bị đột quỵ cấp, còn trong “thời gian vàng” (6 giờ đầu từ khi có triệu chứng). Ê kíp đã quyết định sử dụng thuốc tiêu sợi huyết (rTPA) qua đường tĩnh mạch giúp làm tan cục máu đông gây tắc nghẽn mạch máu não.
Sau khi tiêm thuốc, theo quy trình cấp cứu đột quỵ, bệnh nhân được chụp lại phim CT mạch máu não có thuốc cản quang, các bác sĩ phát hiện người bệnh có tình trạng tắc động mạch thân nền. Đây là động mạch rất quan trọng nuôi vùng thân não và đột quỵ do tắc động mạch thân nền là thể đột quỵ có nguy cơ tử vong lên đến 90% nếu không được phát hiện sớm và cấp cứu kịp thời.
![]() |
| Các bác sĩ đã can thiệp lấy thành công cục máu đông giúp bệnh nhân qua cơn nguy kịch |
Trước tình trạng nguy hiểm trên, ê kíp bác sĩ đã tiếp tục can thiệp lấy huyết khối bằng dụng cụ nhằm tái thông mạch máu đang bị tắc nghẽn. Ngay sau khi can thiệp, tri giác bệnh nhân đã dần bình phục, tỉnh táo, giọng nói cải thiện và cử động được tay chân, tự thực hiện các hoạt động sinh hoạt hàng ngày.
![]() |
| Sau can thiệp, sức khỏe của bệnh nhân đang bình phục tốt |
BS Đỗ Lê Tín – Phó trưởng khoa Nội thần kinh, Bệnh viện Đa khoa Xuyên Á cho biết, đây là trường hợp đột quỵ rất nguy hiểm nhưng được chuyển đến cấp cứu kịp thời. Từ lúc bệnh nhân nhập viện đến lúc tiêm thuốc tiêu sợi huyết chỉ mất khoảng 25 phút và đến khi can thiệp nội mạch chỉ mất khoảng 2 giờ. Ê kíp điều trị đã tận dụng thời gian vàng cấp cứu bệnh nhân, giúp hạn chế tối đa di chứng sau đột quỵ cho người bệnh.
BS Tín cho biết thêm, ông B. có bệnh lý tăng huyết áp, tuy nhiên điều trị không thường xuyên. Ông đã từng mắc đột quỵ một lần và có thói quen hút thuốc lá lâu năm. Để hạn chế nguy cơ đột quỵ có thể xảy ra BS Tín khuyến cáo người dân cần duy trì các thói quen sống lành mạnh, tập luyện thể dục thường xuyên, không hút thuốc lá, các chất kích thích, hạn chế rượu, bia và điều trị tốt các bệnh lý nền như: tăng huyết áp, đái tháo đường, rối loạn lipid máu.
Nhằm góp phần ngăn chặn và giảm thiểu những hậu quả do bệnh đột quỵ gây ra, Báo Tiền Phong phối hợp cùng Bộ Y tế và Trường Đại học Quốc tế Hồng Bàng tổ chức Hội thảo “Phòng chống đột quỵ: Từ lý thuyết đến thực tế hành động”. Hội thảo có sự tham gia của lãnh đạo bộ y tế, báo cáo tham luận của các chuyên gia đầu ngành trong lĩnh vực đột quỵ, thần kinh, tim mạch, đại diện các Sở Y tế của khu vực miền Trung – Tây Nguyên, các tỉnh Đông Nam Bộ, các tỉnh Đồng bằng Sông Cửu Long và các bệnh viện tại khu vực phía Nam. Hội thảo sẽ diễn ra vào lúc 8 giờ ngày 20/4/2025 tại Trường Đại học Quốc tế Hồng Bàng (215 Điện Biên Phủ, phường 15, quận Bình Thạnh, TPHCM). Hội thảo sẽ được Livestream trên các nền tảng số của báo Tiền Phong xin kính mời độc giả đón đọc.


