Google News

Nguy kịch tính mạng vì thói quen phổ biến sau bữa ăn của người Việt

TPO - Nam bệnh nhân bị sốt kéo dài, đau hạ sườn bên phải dù đã điều trị tại nhiều bệnh viện nhưng tình trạng ngày càng diễn tiến nặng thêm. Tại Bệnh viện Chợ Rẫy, các bác sĩ xác định người bệnh bị áp xe gan do dị vật là chiếc tăm tre.

Ngày 4/2, BS-CKII Mã Phước Nguyên, Phó khoa Ngoại Gan – Mật – Tụy, Bệnh viện Chợ Rẫy cho biết, nam bệnh nhân N.V.B. (65 tuổi, ngụ tại TP.HCM) đến thăm khám trong tình trạng sốt kéo dài kèm đau âm ỉ vùng thượng vị và hạ sườn phải. Khoảng 1 tháng trước đó, ông B. đã thăm khám và điều trị tại nhiều cơ sở y tế nhưng tình trạng không cải thiện, nguyên nhân bệnh chưa được xác định.

Tại bệnh viện Chợ Rẫy, kết quả siêu âm bụng ban đầu chỉ ghi nhận hình ảnh nghi ngờ áp xe gan. Bệnh nhân được nhập viện theo dõi và thực hiện lại các thăm dò hình ảnh chuyên sâu.

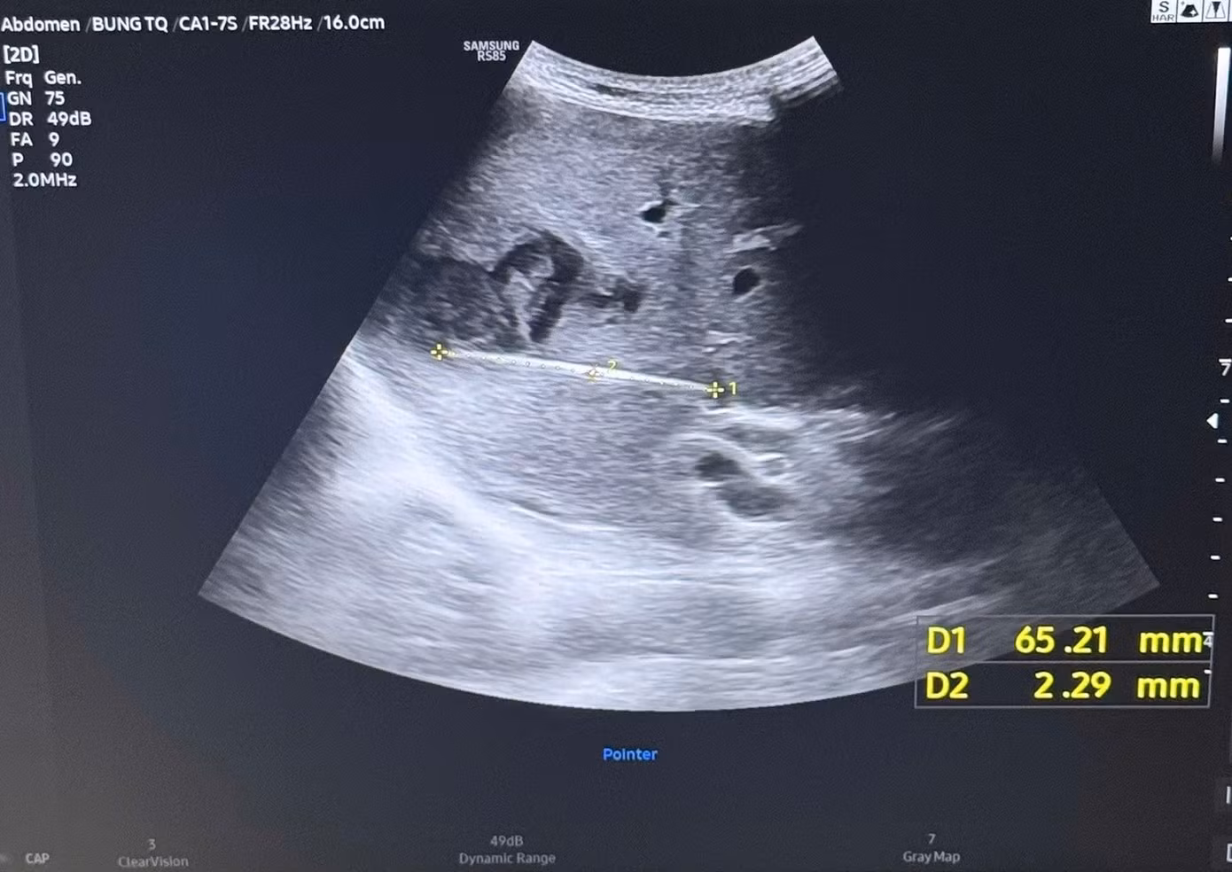
Qua siêu âm kiểm tra và chụp CT ổ bụng, các bác sĩ phát hiện một tổn thương bất thường trong gan với hình ảnh dị vật dài khoảng 7 cm nằm hoàn toàn trong nhu mô gan, kèm theo ổ áp xe sâu.

cr.jpg
Hình ảnh kiểm tra phát hiện dị vật xuyên thấu vùng gan của người bệnh gây áp xe nghiêm trọng

Trước diễn tiến phức tạp và nguy cơ nhiễm trùng nặng, các bác sĩ đã hội chẩn liên chuyên khoa và thống nhất chẩn đoán đây là trường hợp áp xe gan do dị vật đường tiêu hóa, cần phẫu thuật để lấy dị vật và dẫn lưu ổ nhiễm trùng.

Theo BS Nguyên, đây là trường hợp khó chẩn đoán vì triệu chứng lâm sàng không điển hình. Người bệnh chỉ có biểu hiện giống áp xe gan thông thường, không ghi nhận dấu hiệu gợi ý dị vật xuyên thủng ống tiêu hóa. Bản thân bệnh nhân cũng không nhớ thời điểm nuốt dị vật khiến quá trình phát hiện nguyên nhân bị kéo dài.

Trong quá trình phẫu thuật, ê kíp đã phát hiện và lấy ra một chiếc tăm tre xỉa răng nằm sâu trong nhu mô gan. Sau mổ, khi khai thác lại bệnh sử, thân nhân xác nhận bệnh nhân có thói quen ngậm tăm sau khi ăn nhưng không biết mình đã nuốt dị vật từ khi nào.

Theo phân tích của BS Nguyên, sau khi bị nuốt vào, các dị vật sắc nhọn như tăm tre hoặc xương cá có thể xuyên qua thành dạ dày hoặc tá tràng một cách âm thầm. Dị vật sau đó di chuyển vào gan, gây nhiễm trùng khu trú và hình thành ổ áp xe mà người bệnh không hề hay biết. Quá trình này diễn ra chậm, khiến triệu chứng ban đầu thường mơ hồ, dễ bị bỏ sót.

cr.png
Sau phẫu thuật, sức khỏe của bệnh nhân đang bình phục tốt

ThS.BS Trịnh Đình Quốc, khoa Ngoại Gan – Mật – Tụy trực tiếp thực hiện phẫu thuật cho bệnh nhân chia sẻ, ca phẫu thuật này gặp nhiều khó khăn hơn so với các trường hợp áp xe gan thông thường. Ổ áp xe nằm rất sâu trong nhu mô gan, vị trí gần cơ hoành và các mạch máu lớn, khiến việc tiếp cận bằng phương pháp nội soi không khả thi. Ê kíp buộc phải mổ mở để tiếp cận tổn thương, thời gian phẫu thuật kéo dài gần gấp đôi so với các ca áp xe gan nằm ở ngoại biên.

Theo bác sĩ Quốc, nếu áp xe gan do dị vật không được chẩn đoán và xử trí kịp thời, bệnh có thể tiến triển nặng với các biến chứng nguy hiểm như vỡ ổ áp xe gan, nhiễm trùng huyết hoặc tổn thương mạch máu lớn, đe dọa trực tiếp đến tính mạng.

Sau phẫu thuật và điều trị kháng sinh phù hợp, đến nay bệnh nhân đã hồi phục tốt, các dấu hiệu nhiễm trùng cải thiện rõ rệt, dự kiến xuất viện sau khoảng 6 ngày điều trị hậu phẫu.

Từ trường hợp trên, các bác sĩ khuyến cáo người dân cần thay đổi những thói quen sinh hoạt tưởng chừng rất nhỏ nhưng tiềm ẩn nhiều nguy cơ. Việc ngậm tăm xỉa răng sau bữa ăn là thói quen phổ biến của nhiều người Việt, song có thể dẫn đến hậu quả nghiêm trọng nếu vô tình nuốt phải dị vật. Tăm xỉa răng cần được bỏ ngay sau khi sử dụng, không ngậm khi nói chuyện, nghỉ ngơi hoặc đi ngủ.

Các bác sĩ nhấn mạnh, trong trường hợp nghi ngờ đã nuốt dị vật, dù chưa xuất hiện triệu chứng rõ ràng, người dân nên đến cơ sở y tế để được kiểm tra. Đặc biệt, các dấu hiệu như sốt kéo dài không rõ nguyên nhân, đau bụng âm ỉ, cần được thăm khám sớm để tránh bỏ sót những biến chứng nguy hiểm đang tiến triển âm thầm trong cơ thể.