20 năm sống chung với các cơn đau thoái hóa khớp gối dai dẳng
Bà Liên đến Bệnh viện Hồng Ngọc trong tình trạng cả hai khớp gối đau nhức dữ dội, đi không vững, cần người dìu đỡ, run chân, tinh thần suy sụp. Theo chia sẻ của người nhà, bà Liên bị thoái hóa khớp gối hơn 20 năm nay, khớp gối đau nhức cả ngày lẫn đêm, có lúc đau không ngủ được. Trước khi đến BV Hồng Ngọc, bà đi lại rất khó khăn, cần sự hỗ trợ của gậy chống, đứng lên ngồi xuống cũng cần người đỡ, nếu đi xa sẽ cần xe đẩy. Gia đình đã kiên trì điều trị kết hợp nhiều phương pháp đông - tây y nhưng đến giờ không hiệu quả.
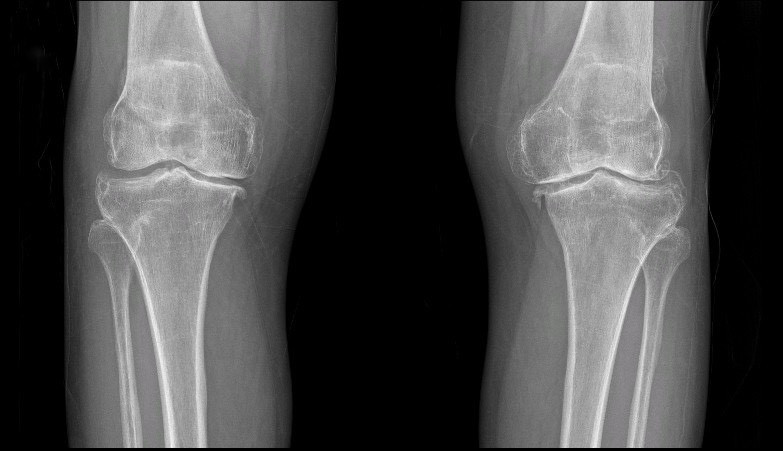
TS.BS Lê Quang Huy (Trưởng Đơn nguyên chấn thương chỉnh hình - BVĐK Hồng Ngọc) - bác sĩ trực tiếp thăm khám cho bà Liên chia sẻ: “Cả hai khớp gối của bệnh nhân bị thoái hóa giai đoạn IV kèm biến dạng vẹo trong rất nặng. Phần lớn lớp sụn khớp đã bị hao mòn và không còn nguyên vẹn, khe khớp giữa hai đầu xương hẹp đáng kể, xuất hiện nhiều gai xương. Điều trị bảo tồn bằng thuốc và các thủ thuật nội khoa hiện không còn hiệu quả nên tối ưu nhất là phẫu thuật thay khớp gối nhân tạo để khôi phục lại vận động cho bệnh nhân.”
![]() |
| Hình ảnh thoái hóa khớp gối trên phim chụp Xquang |
Nỗi sợ vì phải thay cùng lúc hai khớp gối - “Nhỡ không đáp ứng thì tôi phải cưa chân. Tôi sợ lắm”
Nhắc đến trường hợp phải thay cùng lúc cả hai khớp gối, bà Liên thể hiện sự lo lắng: “Ở quê tôi có người đi mổ thay khớp gối về nhưng không đáp ứng, phải cưa chân đó đi. Trường hợp của tôi bác sĩ bảo phải thay cùng lúc cả hai khớp nên tôi càng sợ hơn, vừa sợ không có tiền chữa, vừa sợ phẫu thuật xong mất tiền mà không đi được.”
Theo TS.BS Lê Quang Huy, chỉ định phẫu thuật thay khớp gối ở thời điểm này là bắt buộc vì khả năng vận động của bệnh nhân rất hạn chế, một thời gian sau khớp sẽ hư hại nặng nề thêm dẫn đến cứng khớp, đau dai dẳng không dứt và bệnh nhân sẽ phải ngồi xe lăn suốt đời. Bệnh viện sử dụng khớp gối nhân tạo được thiết kế giống 99% khớp tự nhiên, vừa vặn với trục chân của bệnh nhân, giúp cân bằng hai chân, cho dáng đi tự nhiên sau phẫu thuật. Khớp nhân tạo có cấu tạo từ Titanium và nhựa sinh học thân thiện với kết cấu xương, có độ bền trên 20 năm.
Sau khi nghe bác sĩ tư vấn về phương pháp và hiệu quả mang lại, bà Liên và gia đình quyết định đồng ý phẫu thuật, đặt toàn bộ niềm tin vào bác sĩ và đội ngũ y tế Hồng Ngọc.
![]() |
| TS.BS Lê Quang Huy và GS. Hiranaka Takafumi thăm khám bệnh nhân trước phẫu thuật |
Phẫu thuật thay cùng lúc hai khớp gối không cắt gân cơ - Chấm dứt 20 năm đau đớn, khôi phục khả năng vận động
Ca phẫu thuật được thực hiện bởi TS.BS Lê Quang Huy, dưới sự cố vấn chuyên môn của GS. Hiranaka Takafumi (Giám đốc Trung tâm Phẫu thuật khớp, Bệnh viện Takatsuki, Nhật Bản).
Bác sĩ Huy cho biết: “Với kỹ thuật mới, chúng tôi phẫu thuật thay cả hai khớp gối mà không cần cắt bỏ bất kỳ nhóm gân cơ nào, giúp tạo sự liên kết giữa các đầu xương, phục hồi 3 trục động học chính của khớp gối. Phương pháp này hạn chế tối đa xâm lấn, ít mất máu, đảm bảo thẩm mỹ và ngăn nguy cơ trật khớp, lệch trục, vẹo gối.”
Với đường mổ dưới cơ rộng trong (the modified under-vastus approach) chỉ 12cm giúp bộc lộ toàn diện bao khớp, bác sĩ tiếp cận chính xác vị trí khớp tổn thương và tiến hành thay khớp. Khớp nhân tạo sẽ hoạt động giống như khớp tự nhiên, bệnh nhân có thể vận động sau 1 ngày phẫu thuật và chỉ cần lưu viện 5 ngày, giúp tiết kiệm thời gian, chi phí. Sau khi hồi phục, bệnh nhân có thể gập duỗi, đi lại, lên xuống cầu thang, sinh hoạt bình thường, thậm chí có thể đạp xe, bơi lội.
![]() |
| Bác sĩ Lê Quang Huy thực hiện ca phẫu thuật dưới cố vấn của GS. Hiranaka Takafumi. |
Sau hơn 60 phút kết hợp nhịp nhàng giữa bác sĩ phẫu thuật và ekip, ca phẫu thuật đã diễn ra thành công với khớp nhân tạo vừa vặn với trục chân, vận động trơn tru. 24 giờ sau ca phẫu thuật, bà Liên tỉnh táo hoàn toàn, ăn uống ngon miệng, ngủ ngon và có thể tự ngồi dậy. Bác sĩ cũng bắt đầu chế độ tập phục hồi chức năng từng bước cho bà để khôi phục vận động sớm nhất có thể. Sau 5 ngày, bà Liên được ra viện và tiếp tục tập phục hồi chức năng theo hướng dẫn của bác sĩ và kỹ thuật viên tại nhà.
“Nghe bác sĩ nói mẹ phải phẫu thuật thay cùng lúc cả hai khớp gối, cả nhà mình ai cũng sợ. Sau phẫu thuật thấy mẹ không còn đau đớn, ăn uống thoải mái và tươi cười suốt ngày, cả nhà nhẹ nhõm hẳn. Gia đình cảm ơn các bác sĩ Hồng Ngọc nhiều lắm.”, chị Phương - con dâu của bà Liên vui mừng chia sẻ.
![]() |
| Bệnh nhân hồi phục nhanh, tập phục hồi chức năng sớm sau phẫu thuật. |
THÔNG TIN LIÊN HỆ
Đơn nguyên Chấn thương chỉnh hình - Bệnh viện Đa khoa Hồng Ngọc Phúc Trường Minh
- Địa chỉ: Số 8 Châu Văn Liêm, Phú Đô, Nam Từ Liêm, Hà Nội
- Hotline: 0912.002.131/0949.646.556


